• 메인으로

  • Menu
  •  병원소개
    •   의료진 소개
    •   진료안내
    •   병원둘러보기
    •   장비소개
    •   오시는 길
  •  예스 교정 시스템
    •   돌출입교정
    •   수술교정
    •   어린이치료고정
    •   중 장년층 교정치료
    •   Powerful 교정용 미니임플란트
    •   Speed 교정치료
    •   예쁜미소를 위한 교정치료
    •   잇몸 교정치료
    •   하루에 시작하는 교정치료
    •   이를 뽑지 않는 교정치료
  •  예스만의 치아교정
    •   교정치료란?
    •   부정교합
    •   가철성교정
    •   투명교정
    •   순측교정
    •   설측교정
    •   인비절라인
    •   청소년/소아 교정
    •   시술보증서
  •  교정 Big Data
    •   교정 진단과 치료계획
      •   교정치료의 역사
      •   왜 부정교합을 치료해야 하는가
      •   부정 교합의 원인
      •   진단과 치료계획
      •   미취학 아동의 치료계획
      •   사춘기 직전 아동의 치료계획
      •   청소년기의 치료계획
      •   성장기 아동의 치료계획
      •   성인에서의 치료계획
      •   교정치료의 시기
    •   교정장치
      •   고정식 장치
        •   치간이개
        •   교정용 밴드
        • 브라켓과 튜브
        • 교정용 Wire
        • 교정용 Elastics Springs
        • 장치의 제거
        • 유지 장치
      •   가철식 장치
        • 치아이동을 위한 가철식 장치
        • 성장 조절을 위한 악기능 장치
        • 약정형 장치
    •   교정 처음과 끝
      • 치아 이동의 원리
      • 교정치료의 진행 순서
      • 교정 치료 QnA
    •   안보이는 교정
      • 성인교정의 특징
      • 심미적인 교정장치의 사용
      • 성인의 보조적 교정치료
    •   수술 교정
      • 수술교정의 필요성
      • 수술교정 치료의 순서
      • 돌출의 수술교정
      • 주걱턱 수술교정
      • 무턱 수술교정
      • 안면비대칭의 수술교정
      • 급속교정 및 골격선 고정원
    •   어린이 교정
      • 어린이 교정은 왜 필요한가
      • 교정은 언제 하는 것이 좋은가
      • 어린이의 성장과 발육
      • 우리 아이도 부정 교합인가요
      • 어떤 장치를 끼게 될까요
      • 장치를 낄때 불편하거나 주의 할점은
      • 교정을 시작할 때 주의 할점은
      • 교정치료의 부작용은 없나요
      • 아이가 교정치료를 하기 싫어해서요
  •  예스의 다른 치료시스템
    •   소아치과
      • 어린이 치아의 중요성
      • 젖니보호의 중요성
      • 젖니와 영구치의 관계
      • 치아에 나쁜음식
    •   심미보철
      • 라미네이트
      • 인세람
      • PFG
      • Collarieses
      • 완전 구강화복술
      • 브릿지
      • 잇몸성형
      • 치아미백
    •   턱관절장애
      • 구조의 기능
      • 턱관절장애
      • 장애의 원인
      • 장애의 증상/보도자료
      • 장애시 나타나는 증상
      • 예방 및 치료
    •   임플란트
      • 임플란트란
      • 이식과정
      • 적용사례
      • 주의사항
  •  커뮤니티
    •   예스치과의 마법이야기
    •   치과상식
    •   상담예약
    •   온라인상담
    •   치료후기
    •   자주하는 질문(FAQ)
    •   공지사항
  •  오시는 길
    • 로그인
    • 회원가입

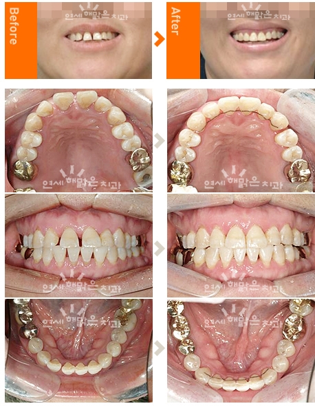
중 장년층 교정치료

예스 교정 시스템
  • 돌출입교정
  • 수술교정
  • 어린이치료고정
  • 중 장년층 교정치료
  • Powerful 교정용 미니임플란트
  • Speed 교정치료
  • 예쁜미소를 위한 교정치료
  • 잇몸 교정치료
  • 하루에 시작하는 교정치료
  • 이를 뽑지 않는 교정치료
  • 풋터메뉴
메인으로

    예스치과는 마음입니다.
    예스치과는 긍정입니다.
    예스치과는 고객의 마음에 서서 고객과 함께 하고자 합니다.

Contact

Subscribe Newsletter

등록하기

인천광역시 부평구 시장로 7(부평5동 194-23)  신라빌딩 6층( 애슐리, 웨딩홀, 싱크빅문고 )

☎ 032 518 9999  (F) 032 528 9600

© 2016 DDaeMiRy, Inc. All rights reserved.   E-mail : chkkes@nate.com